即刻App年轻人的同好社区
下载
App内打开
幸运猪猪在打工
50关注22被关注0夸夸
现在脑袋不空空!
幸运猪猪在打工
2月前
残疾脆皮师生终于见面了!但握不到手!
00
幸运猪猪在打工
3月前
“专家会诊”也是神内神外小小MDT了一下
谁术前一天和同届师兄师姐师妹们一起聊八卦吃蛋糕呀,护士进来找我都不知道什么情况,发愣了!
神外老师同意我保留了上半部分头发,检验合格,说我心态真好。晚上和老师贴贴!老师:愁死我了(疯狂担心我术后并发症和后遗症)
真好,就是因为大家愁我才不用愁嘻嘻
希望下午大佬早点来我早点上台!
00
幸运猪猪在打工
3月前
喜提腕带,心痛的住了单间!
主打一个不能亏待自己和妈妈,普通病房真的是太大味了!组里的住院医姐姐还贴心的准备了一个信封有鼓励我的话还有666的红包!呜呜呜呜呜呜真的是太感动了!不愧是最好的师姐🥺
真的被大家很温柔的对待,给护士姐姐们送水她们直接把送水哥给我赶走了!
00
幸运猪猪在打工
3月前
耍赖拖师公请我饭!(其实是希望他术前骂我几句发泄一下,术后安安静静给我搞毕业)
骂我拉他上我的护理团,我老师动嘴他跑腿哈哈哈哈
边吃边嫌弃,说我贪吃贪玩贪睡,觉得自己行又不干,可惜
最后无奈那能怎么办,就当成自己姑娘养着呗
00
幸运猪猪在打工
3月前
今天回科给老师送个插板,老师睡着了,就和科里老师小声聊了两句,然后老师迷迷糊糊的叫我名字,我以为有啥事结果她问我来干嘛,中午吃完饭又给师姐送个单子,她半梦半醒看见我了又叫我问我干啥,最后摸了下我的胖肚(脂肪宝宝)!
啊!是一些温暖舒服的小时光
10
幸运猪猪在打工
3月前
住院前约饭
和老师
和朋友a
和朋友b
再加上复查!
果然是需要请一周假吃吃喝喝休息的😏
00
幸运猪猪在打工
3月前
再猛烈的进攻也不能我的I人小导懒得应付我不想见我的心!
00
幸运猪猪在打工
4月前
日常被我爸气死,又是嫌弃四川男人没用的一天!
爸妈来学校陪我手术,最开始就不想爸爸来,觉得我妈不仅要照顾我还要照顾他。
来了之后,妈妈没怎么休息就开始收拾出租屋卫生,我下班回家又开始一起拿快递,我就让爸爸拆一下快递安装一下晾衣架什么的,我们还要继续拿其他快递,完事赶快出去吃饭,他一动不动。
我和妈妈回家我妈开始拆他才去帮忙,好不容易弄好,出去吃饭,问他吃什么他也不说话,妈妈说吃水饺吧,带他们去喜家德,我爸进去一看大声用四川话说怎么全是虾,然后不停的说,把服务生小哥整懵了,我就立马黑脸说我们不吃了直接走了,然后带他们去吃中餐。(这个时候头痛就开始发作,真的是非常明显的症状提示我有病我还没有察觉)
喜家德有他喜欢的芹菜肉啊,他就是看着广告全是虾而已,而且大家已经很累很饿了,他没有异议又要挑剔,在我生病要做个大手术,他两坐半天飞机,我妈还没歇着的时候,还要满足自己的四川口味,我妈还哄着他觉得今天没有时间收拾好厨房给他做他的四川饭很不好。我就想,大概我当时不敢去北京看病,在北京手术,在本院给自己不停找老师确定治疗方案无非就是因为我爸的垃圾,我没有办法信任任何人,我会操800个心,怕没有办法把妈妈照顾好!我现在就操心我术后状态不好,我妈得给我做我的病号饭,还得给他搞他的四川饭,就不知道他怎么那么垃圾,即使家里遇到危机也没有什么办法处理好。
本来已经被心理咨询调节的积极面对的我,因为我爸的垃圾现在崩溃大哭,就怕有意外进ICU或者预后不好妈妈太辛苦
10
幸运猪猪在打工
4月前
朋友和我说我们科天天点我名,我老师无语了把我的病情公开了。
我们科真是颠公颠婆一堆,点名的老师点我不点自己学生,我很早就给他看了我的片子说我可能去北京看病,就一定要公开在所有人面前他们才舒服。一个事婆的学生像审问我一样问我情况,问完说哎呀听着就害怕,回个哦哦就走了,我还以为僵尸突然有人性,结果人家纯打听来戳我。科里就不爽我不上班搞这些妖艳事,好像我上班了科里才能转一样,好像少我一个人这些主任就要累死了,好像敢让我现在上班不怕我出意外一样,又怕事又做作真是够了!
而我老师我朋友帮我找自己老师会诊的朋友都特别特别担心我的精神状态和压力,基本上不太找我,但是对约饭有求必应(是那种在科里上一周班,周六和朋友约了周天也要陪我玩玩,一周无休),脑外的老师们一看我片子就开始帮我想办法,摇人,拍我肩安慰我说没关系他们让我放心。我的师姐还专门去打听我找的北京的老师怎么样,说毕业有她别担心!
真的无语死啦(。ŏ_ŏ)
00
幸运猪猪在打工
4月前
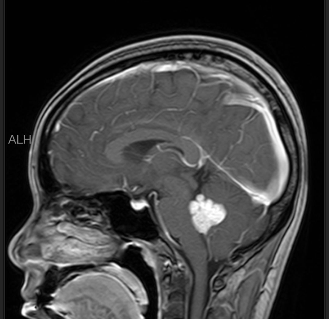
晒一下我的瘤子!希望它一个月后乖乖离开!
00