即刻App年轻人的同好社区
下载
App内打开
史振华
25关注2被关注0夸夸
史振华
1年前
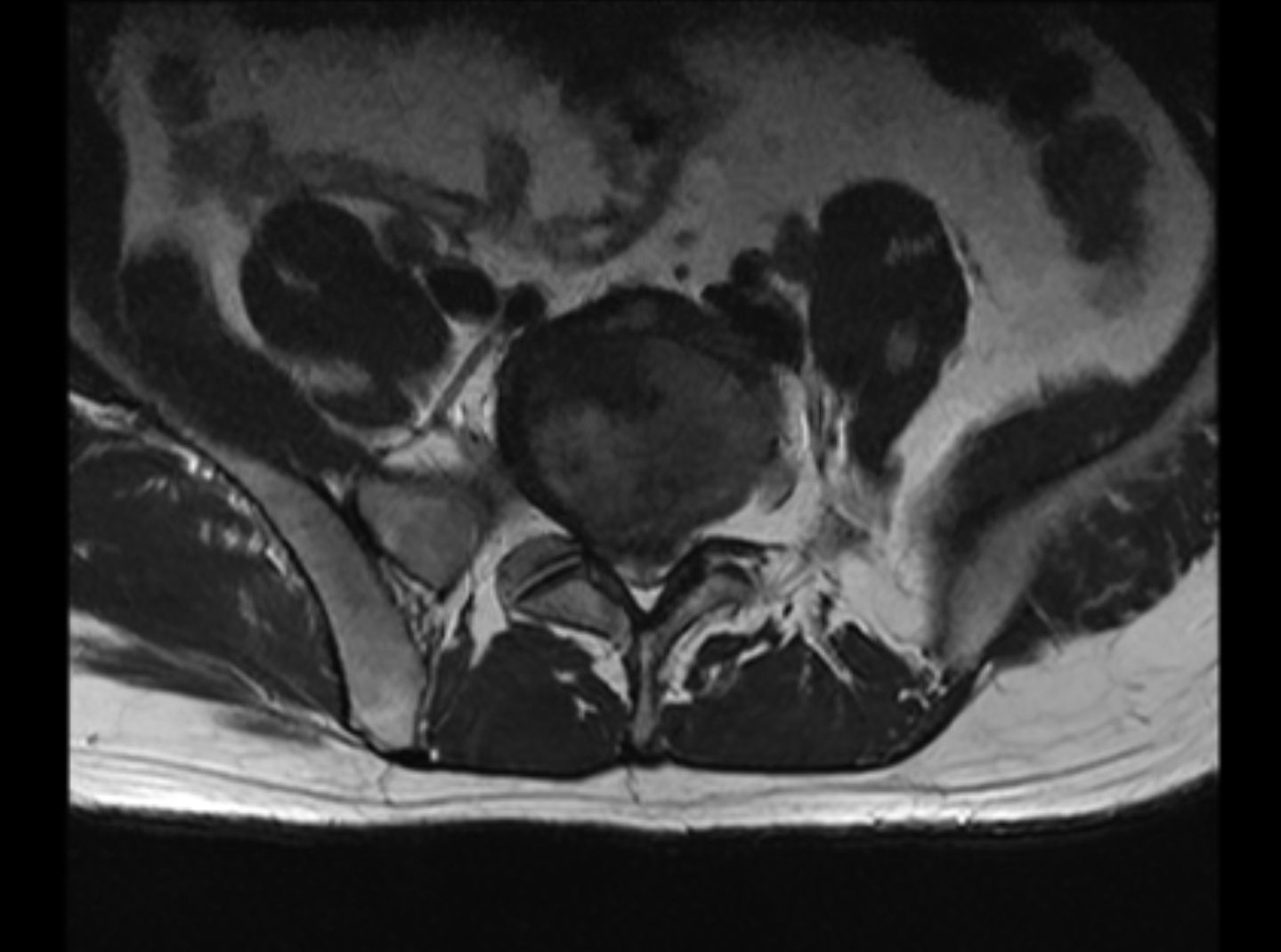
腰椎间盘突出 微创手术3日
CT报告
放射学表现
腰椎序列 , 生理弯曲变直 ,诸椎体边缘增生硬化 , 腰5/厭1 椎体相对缘见斑片狀高密度影。腰3-5水平椎间盘向周围均 匀性膨出 ,两侧椎间孔狭窄。腰5/聶1水平椎间隙狭窄 , 见气体密度影 , 椎间盘向后方突出 , 硬膜囊前缘受压明 , 椎管及两侧椎间孔狭窄。椎旁软组织未见明显异常。
放射学诊断
1.腰5/聽1椎间盘突出伴变性 , 相应水平椎管及两侧椎间孔 狭窄。 2.腰3-5椎间盘膨隆。 3.腰椎退行性改变 ; 腰5/祇1 椎体相对缘终板炎。

MR报告
放射学表现
腰椎生理曲度变直 , 椎体排列尚整齐 ; 腰3椎体偏前侧见 0.9x 1.4cm的椭圆形较高信号灶 , 压脂后信号减低 , 余所示 椎体信号未见明显异常 , 各椎体边缘骨质增生改变 , 骨性 椎管未见明显狭窄 ; 腰5/聶1椎间隙变窄 , 相对缘终板面略 毛糙 , T2WI/FS信号稍高 ; 腰5/髓1椎间盘向后明显突出 致局部椎管变窄 , 马尾终丝受压 ; 腰3/4、4/5水平椎间盘 向周围轻度膨隆 , 硬膜囊略受压 ; 余圆锥、马尾形态、信 号未见明显异常。
放射学诊断
1.腰5/艇1椎间盘明显突出 , 致局部椎管变窄。 2.腰3/4、 4/5椎间盘轻度膨隆。 3.腰3椎体异常信号灶 , 考虑脂肪沉 积可能 , 请随诊。 4.腰椎轻度退变 , 生理曲度变直 ; 腰5/ 融1椎体相对缘终板炎改变。

20240902
前一天晚10点前4瓶营养液
手术当天5点半前2瓶营养液
7点确认前一晚禁食禁水后被推到手术室前等待约1小时, 上手术台自己签麻醉书。说是吸氧实际上几秒钟就睡了。
12点醒来已经在手术观察室。自己尝试微微动了下四肢五感十指十趾皆在,so not bad at least 提着的心已大定。说话声音哑,眼睛不断流泪,听说算干眼症后推回病房。
14点吊多种盐水止痛药等,吸氧,吊每按次0.5ml 15min止痛水备用,稍有恶心晕眩不强。眼睛红肿渐消,声音当晚才逐渐好转。监控4小时心跳血氧血压,康复科医生学习翻身动作 6次1组勾脚掌 抬腿 曲膝动作。
18点双脚底感觉麻。右下侧抚摩时感觉麻 从生殖器 大腿 小腿 脚底。其他无特别。
20点主治医生查房言按在美国已可下床,建议为防复发完全躺两天或仅大便时下床,称因体质不同举做月子为例,实测已可独自躺着做康复动作。
主动留了自己电话并称可加微信,认为手术很成功。想起门诊时给的团队微信也未加。

20240903
手术日后一天抽血验维生素B1B6缺B2超高B12正常内高值必因腺苷钴胺片,氨基丁酸(γ-氨基丁酸)低于正常。麻木区域依旧小腿用电刺激器后感觉恢复得最好。

20240904
手术后第二天,拔尿管,重埋针换药贴,得知无需拆线自融。在康复师帮助下坐起三分钟,虚汗脸红腰微酸。看来确还需多静养。
//
马后炮:其实所有术后用的自费产品都不需要提前买,包括手术中推销的止痛棒,但国情加心情求心按。
最庆幸
→为大流行买的高端住院险一次回本
→观察理赔后为防复发概率3-5%续保一年
医院主任医生手术方案 ,由方案定人定院
→最大隐患方案。
确定方案前对此病全无可靠认知,
B站 +小红书 获初步认知,各种矛盾甚是骇人听闻。
短时面聊多个本人+其直系亲友同种病,
多仅相似症状,年代久远不知或非相近检查结论。
保守1同事+2同事亲友+2病友亲友
手术2亲友同事+2同事亲友
病友2一周出院1已住二周似反复
长期信息短缺,以至少近5年至今计
12人中选择保守治疗后至今无症状1人病友亲友 数十年前正骨后休养月许。各条件难以复制。

→←最佳合适田忌赛马。
选择一线城市二线医院一线科室vs 底层小市民。住次高楼层的次高病房,三级A等。参观了解下老干部楼层和由普通病房为3常规床号2加床号一间房内加亲属动态5-8人很正常,楼层级公共浴室,换2床间特需病房自带冰箱浴室和拉椅床。
41
史振华
1年前
松江南站:12306叫上海松江,地铁叫松江南站,出了地铁叫高铁松江。
松江北站:地铁醉白池站旁的老松江站。
00
史振华
2年前
迪士尼星愿公园门票免费,从地铁3号门至东门入口拿隐藏地图,打完卡还可以在西门出口拿一份马蹄铁勋章和旁边VR展厅的免费体验券。园内多个地点可以露营,以上全程免费。
00
史振华
2年前
chrome的crx扩展文件在chrome上死活没装上,Edge上倒是装上了,启用开发人员模式和允许来自其他应用商店
00
史振华
2年前
瞭望塔往南这一段还好带了头灯和手套。一路多有前人树上绑的绳子,半山腰尽然还有个路排看地上的落叶,应该没什么人往北走有,雷达站灯光让人以为马上就到了,虽然就十分钟,当以为已经走出来了发现还有一段之后又有一段,这时的时间感觉就过的特别慢了。

史振华: 有个暸望塔也算是有点山,三月中旬也没啥蚊虫。完全免费不错。

00
史振华
2年前
有个暸望塔也算是有点山,三月中旬也没啥蚊虫。完全免费不错。
11
史振华
2年前
刚知道虹桥机场还可以免费暂存30天那些允许托运,但不允许随身上机的行李。安检完发现不合规直接存在这里,省得再出去托运或者快递了。
00
史振华
2年前
史振华
2年前
LK-99这已经这么完整了,没想到还有人不信。那个视频我也完整看了,听了他潜台词的意思,我是相信的,而且是室温的超导。
原动态已删除
00
史振华
2年前
深圳地铁见闻,绕过两节商务车箱站台,再走过两个女士优先站台,终于上了个强冷车箱一上车就听几个老人在夸一个身穿雪碧绿短袖的小胖子,他刚给一位怀抱婴儿的女士让座,车箱连接处盘腿坐着个运动背心的青少年,车箱巡视员快步穿行左右手交替扶一下每根立柱。下午5点多看来还不是地铁高峰时间。
00